
Esthetic Crown Lengthening
Happy Monday!
I hope everyone enjoyed the beautiful weather this weekend.
Some patients feel self-conscious about their smile not because of decay or damage—but because of
excessive gingival display or short-looking teeth, even when their
dentition is healthy.
Esthetic crown lengthening offers a minimally invasive way to reshape the gumline,
enhance tooth proportions, and create a natural, confident smile—without restorative treatment.

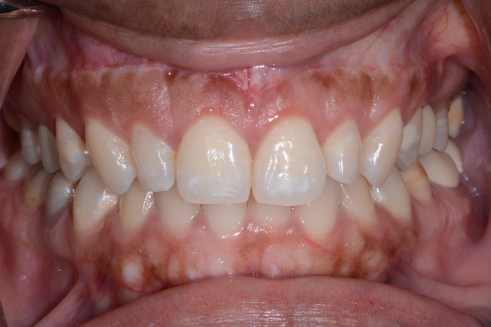
Pre-op: Excessive gingival display in an otherwise healthy, unrestored smile

3 month post-op: Improved crown proportions and enhanced esthetics
This procedure is ideal for:
- ✔️ Patients with a “gummy” smile
- ✔️ Uneven gingival margins in the esthetic zone
- ✔️ Short clinical crowns with no need for restorations
- ✔️ Individuals seeking cosmetic enhancement without veneers or crowns
By revealing more of the natural crown, we can dramatically improve the smile while preserving tooth structure.
Healing is quick, esthetics are immediate, and results are long-lasting.
Warm regards,
Dr. Alexander J. Loeb